03/05/2012 13:59:32

La acumulación de glucógeno en neuronas provoca daños cerebrales y acorta la vida

Un trabajo sobre el glucógeno de investigadores del IRB Barcelona permitirá avanzar en el estudio de enfermedades neurodegenerativas

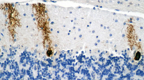
Una colaboración entre los grupos del Instituto de Investigación Biomédica (IRB Barcelona) liderados por los científicos Joan J. Guinovart y Marco Milán ha permitido encontrar evidencias concluyentes en moscas y ratones sobre los efectos nocivos de la acumulación de cadenas de glucosa (glucógeno) en neuronas.

El trabajo pone al servicio de la investigación de la epilepsia de Lafora y otras patologías neurodegenerativas donde se observan cúmulos de glucógeno en neuronas, dos modelos animales para estudiar los genes involucrados en este proceso nocivo y encontrar soluciones farmacológicas que permitan desintegrar los cúmulos o limitar la producción de glucógeno.

“Nuestros datos indican claramente que la sola acumulación de glucógeno mata a las neuronas y por ello acorta de forma drástica la vida”, señala Guinovart, experto en el metabolismo del glucógeno, jefe de grupo del IRB Barcelona y catedrático de la Universidad de Barcelona, “porque lo único que hemos manipulado en las células neurales es que fabriquen más glucógeno” indica el investigador.

La incorporación en el estudio del modelo de Drosophila confirma la teoría con otro modelo in vivo ya que las moscas también presentan los mismos síntomas de degeneración que los ratones cuando acumulan glucógeno en las neuronas. Pero además el uso de Drosophila acelerará la obtención de datos genéticos y de cribado de moléculas terapéuticas. “Seremos capaces, en poco tiempo, de hacer una búsqueda masiva de genes involucrados en el proceso patológico y comprenderlo mejor a nivel molecular”, subraya Marco Milán, investigador ICREA en el IRB Barcelona y especialista en Drosophila. “Pero además, las moscas también serán útiles para identificar moléculas farmacológicas que permitan curar”, explica el investigador. Los equipos del IRB Barcelona están diseñando diversos experimentos para señalar una a una las posibles dianas terapéuticas que serían útiles para prevenir la acumulación de glucógeno en las neuronas.

Además de la relación directa con la epilepsia de Lafora, una dolencia degenerativa progresiva que afecta a adolescentes y carece de cura, este problema podría ser la causa principal de otras enfermedades neurodegenerativas como la Enfermedad con Cuerpos de Poliglucosano del Adulto y la Enfermedad de Andersen.

Compartir:
  • linkedin share button